Quick Enquiry Form
Social 6 Lingual Braces
Social 6 Lingual braces are a discreet fixed brace that provide the perfect teeth straightening solution for patients with anterior spacing or dental crowding.
How do Social 6 Lingual braces work?
The braces use similar wires and brackets to traditional fixed braces but are attached to the back of the teeth. The positioning of the fixtures means Social 6 Lingual braces remain completely unnoticed during the treatment process. Your braces will be custom-made to suit your orthodontic condition based on a mould of your teeth. Once your brace has been made you will visit the practice to have them fixed in place.
Who is Suitable for Social 6 Lingual braces?
People who have minor to moderate crowding problems can achieve effective tooth movement with Social 6 Lingual braces. During an initial consultation we will perform a thorough assessment to decide if this is the best brace option for you.
How long does Treatment take?
Most cases can be finished in as little as 5 to 16 weeks but this will depend on the severity of your condition. This can be discussed with our team during an initial consultation.
Pros of Social 6 Lingual braces
- The braces are highly discreet as they are fixed on the lingual side of the teeth.
- Social 6 Lingual braces use self-ligating technology and light wires to provide fast and effective tooth movement.
- Patients enjoy a greater level of comfort compared to other fixed braces.
- Treatment time can be as little as 5 to 16 weeks.
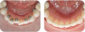
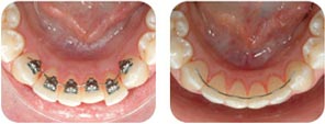
See the results for yourself:
Treatment time: 5 weeks (1 wire used)
Treatment time: 6 weeks (1 wire used)
Treatment time: 6 weeks (1 wire used)
Treatment time: 6 weeks (1 wire used)
Treatment time: 8 weeks (1 wire used)
Treatment time: 16 weeks (1 wire used)
“the staff are very friendly and always happy to see you”
Act Now! Call us today!
Waterlooville - 02392 254234Chichester - 01243 532992










